Our dentists working to your smile

RADIOGRAFÍAS INTRAORALES

RADIOGRAFÍAS INTRAORALES
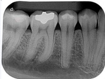
periapical

Es una pequeña radiografía dental en la cual vamos a intentar ver todo el diente desde el final de la raíz hasta la corona completa, además del tejido circundante. Esta nos ayuda a valorar problemas del diente y de su tejido de soporte, así como problemas e infecciones más allá del diente.

coronales

Coronales

Es una pequeña radiografía que en este caso usamos para valorar solo las coronas de los dientes. Se hace morder un posicionador y de esa manera salen hasta 4 o 5 coronas superiores e inferiores. Esto nos permite detectar caries. Principalmente interproximales.

ocurales

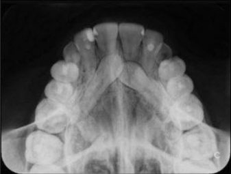
Oclusales

Son también pequeñas radiografías aunque en este caso la placa es un poco más grande y es la placa la que se muerde entre la arcada superior y la arcada inferior. El tubo de rayos X se coloca casi perpendicular a la placa y de esta manera se valoran dientes incluidos y su posición. Los dientes incluidos son los que no han aparecido en la boca, y se encuentran “escondidos”.

Actualmente este tipo de radiografía no se usa demasiado, ya que hoy día con los aparatos en 3D, escáner, nos permiten una exacta valoración de la posición.